今日,徐熙媛(大S)在日本旅游期间因流感并发肺炎不幸离世的消息引起了广泛关注。很多网民在表达惋惜的同时也提出疑问:流感真的会致命吗?

面对流感,我们需要认识到它并非总是温和的疾病。杭师大附属医院呼吸与危重症医学科主任吕群表示,重症流感可能导致剧烈咳嗽、高烧不退、呼吸困难甚至多器官功能衰竭等严重症状,有时甚至会危及生命。

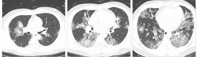
刘先生是一名身体健康的上班族,在这次流感季节中不幸成为重症患者。起初他只是有些轻微咳嗽咳痰,以为是普通感冒并未在意。然而几天后,他的症状加重,出现气急情况。到医院就诊后,检查结果显示他感染了甲型流感,且胸部CT显示两肺有严重的磨玻璃样渗出,即“白肺”。医生立即将其收治入院,并进行吸氧、抗病毒和激素治疗。经过医护人员的努力,刘先生病情逐渐稳定,最终康复。

吕群指出,重症流感患者易并发细菌和真菌感染,可能引发进一步的肺炎或败血症。出院后的康复治疗、营养支持以及预防感染等方面也需要高度重视。
为了预防流感,建议采取以下措施: – 接种流感疫苗,特别是孕妇、儿童、老年人和患有基础疾病的人。 – 预防性使用抗病毒药物,如奥司他韦或玛巴洛沙韦。 – 经常洗手,保持手部卫生。 – 增强免疫力,均衡饮食、适量运动、充足睡眠。 – 远离传染源,避免前往人员密集场所,保持社交距离。 – 佩戴口罩,选择适合的一次性外科口罩或KN95口罩。
春运期间,市民应注意个人卫生,合理规划行程,尽量避开出行高峰时段。如有呼吸道感染症状,应居家休息,推迟出行。吕群提醒,虽然甲型流感引起的重症肺炎较为少见,但在特定人群中仍需警惕。科学预防和及时就医是应对流感的关键。
———END———
限 时 特 惠: 本站每日持续更新海量各大内部创业教程,一年会员只需168元,整站资源免费下载 点击查看详情
站 长 微 信: Jmbaoku
