
2月5日,“男子感染流感短短几天出现白肺”的新闻登上百度热搜榜。
事情源于健康状况良好的上班族刘先生(化名)不幸感染重症流感,起初只是轻微地咳嗽咳痰,他以为只是普通感冒,并没有太在意。
刘先生去社区医院配了一些常规感冒药,服用后仍感觉头晕无力,咳嗽咳痰好像也加重了。
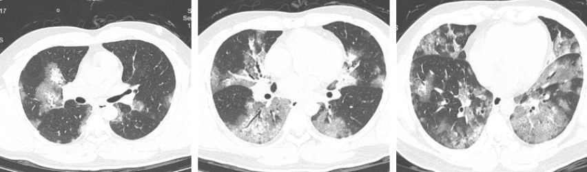
又过了几天,刘先生不仅咳嗽咳痰没有改善,还出现了气急的情况。到医院检查后发现自己感染了甲型流感,但他的胸部CT让接诊医生意识到这不仅仅是普通的流感这么简单。刘先生的两肺都有非常严重的磨玻璃样渗出,也就是平时所说的“白肺”。

治疗前胸部CT(两肺弥漫性磨玻璃样渗出)(图片来源:钱江晚报)
结合病史,接诊医生考虑刘先生得了重症流感,连忙将其收入医院治疗。
在医护人员的努力下,刘先生的病情逐渐稳定,高烧消退,胸闷气急的症状也得到了缓解。再次复查胸部CT,两肺的炎性渗出都有不同程度的吸收。经过这次大病,刘先生感觉重获新生。
日前,大S徐熙媛在日本旅游期间因流感并发肺炎不幸离世的消息引发广泛关注,也引起了人们对流感的重视与警惕。
有医疗领域专家提醒,流感并不是像很多老百姓认知中那样“发两天烧吃几颗药就好了”,它的面貌并非总是温和的。
有时,它会对我们的健康造成更为严重的威胁。重症流感往往伴随着剧烈咳嗽、高烧不退、呼吸困难、多器官功能衰竭等严重症状,甚至有可能危及生命。
此外,以往高致病性禽流感、新冠病毒感染等病毒性肺炎,在病情严重时都可能引发“白肺”现象。不过像上述刘先生这样因甲流感染导致重症流感且发展到出现显著肺部病变乃至“白肺”的情况,还是较为少见的。但是,在具有基础疾病的人群(如心肺疾病患者、孕妇、婴幼儿、老年人或免疫缺陷者)中,甲型流感肺炎更容易发展为重症。
那么,如何判断自己是得了流感还是普通感冒?
首先,在流感高发的冬春季节,如果我们出现流感样症状,特别是密切接触流感病例之后,出现高热、咳嗽、咽痛、肌肉酸痛、乏力等症状,很可能是感染了流感。普通感冒一般没有明确的传染源。
其次,流感起病急、症状更重,往往伴随38.5℃以上的发热,并且除了咳嗽、咽痛,还有明显的全身症状,如头痛、肌肉酸痛、特别乏力。普通感冒一般是低热或者中等程度发热,还有人不发热,症状比流感轻,主要是鼻塞、流涕、打喷嚏。
在流感高发季节,专家建议,普通人群以及并发症高危人群都要做好个人防护,减少去人群密集的公共场所,特别是空气不流通的场所,避开出现咳嗽的人群。若家里有人得流感,尽量减少直接接触。
同时,需注意个人卫生和消毒防护,勤洗手,建议在保证室内温暖的条件下每日通风至少2—3次,每次20—30分钟。
增强体质,保持良好的休息和营养摄入。摄入足够的蛋白质、维生素和矿物质,多吃新鲜的蔬菜和水果;适量运动,如每周进行至少150分钟的中等强度有氧运动;保证充足的睡眠,让身体得到充分休息,有助于增强免疫力。
另外,每年的9月和10月通常是接种流感疫苗的好时机,即便在10月底前没有打上疫苗,在整个流感季都是可以接种的。而且,由于流感病毒易发生变异,每年流感流行株可能发生变化,因此,建议每年都要接种流感疫苗。
———END———
限 时 特 惠: 本站每日持续更新海量各大内部创业教程,一年会员只需168元,整站资源免费下载 点击查看详情
站 长 微 信: Jmbaoku
